Ring Enhancing Lesion

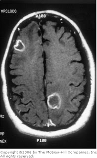
Mri Brain T1 Axial View Showing Multiple Ring Enhancing Lesions

Mri Brain T1 Axial View Showing Multiple Ring Enhancing Lesions

Brain Abscess

Brain Abscess

Im Board Review Ring Enhancing And Non Enhancing Lesions Usmle

Im Board Review Ring Enhancing And Non Enhancing Lesions Usmle

Https Epos Myesr Org Esr Viewing Index Php Module Viewing Posteraction Task Downloadpdf Pi 136354

Https Epos Myesr Org Esr Viewing Index Php Module Viewing Posteraction Task Downloadpdf Pi 136354

Ring Enhancing Pontine Lesion In A Young Boy Bmj Case Reports

Ring Enhancing Pontine Lesion In A Young Boy Bmj Case Reports

Brain Mri With Contrast Showing Multiple Ring Enhancing Lesions

Brain Mri With Contrast Showing Multiple Ring Enhancing Lesions

Ring Enhancing Lesion In Hiv Positive Patient

Ring Enhancing Lesion In Hiv Positive Patient